片眼だけが眼瞼下垂になる原因としては先天性眼瞼下垂、加齢、コンタクトレンズ、アイプチの使用、アトピー性皮膚炎などのほか、脳動脈瘤、脳梗塞や脳腫瘍といった頭蓋内疾患や片側顔面痙攣、顔面神経麻痺、重症筋無力症などがあります。基本は手術による治療となりますが、頭蓋内疾患や神経筋疾患などの場合には先に原疾患の治療が必要となる場合があります。
眼瞼下垂とは?
目次
眼瞼下垂とは?
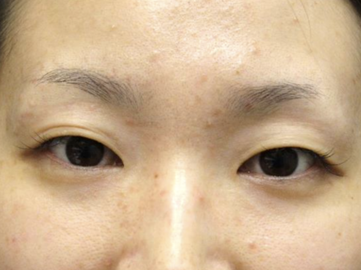
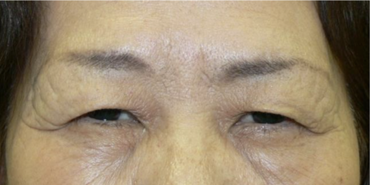
これらは全て眼瞼下垂症と
診断された方です。
何らかの理由で眼を開いた時にまぶたがうまくあがらない病気です。加齢に伴うもの、先天性のものがあります。
主な理由は①まぶたをあげる筋肉が弱い(挙筋機能低下)、②皮膚のたるみ(皮膚が多い)、③筋肉を動かす神経の異常があります。原因としては加齢、コンタクトレンズ装用、一重まぶたなどがあります。
また、頭部疾患、神経疾患、内科疾患などが原因となることもあります。
眼瞼下垂になる主な理由
- まぶたをあげる筋肉が弱い
(挙筋機能低下) - 皮膚のたるみ(皮膚が多い)
- 筋肉を動かす神経の異常
眼瞼下垂になるその他の理由
- 加齢
- コンタクトレンズ装用
- 一重まぶた
- 頭部疾患
- 神経疾患
- 内科疾患
眼瞼下垂になる原因
と症状について
「急に眼瞼下垂になった」、「1日の中で良くなったり悪くなったりする」、「物が二重に見える」などの場合には、頭蓋内疾患や神経筋疾患を疑い、血液検査や画像検査を追加します。
適宜、治療できる病院にご紹介させていただきます。
片眼のみの料金についてですが、前頭筋吊り上げ術は約60,000円、挙筋短縮術、睫毛上皮膚切除、眉毛下皮膚切除の場合は約40,000円です。片眼だけの眼瞼下垂を訴えて受診された方でも検査を行うと両側の眼瞼下垂がある場合も多々あります。その場合には両眼とも手術します。
眼瞼下垂手術の費用目安について
| 片眼のみ | |
|---|---|
| 挙筋短縮術 | 約40,000円 |
| 前頭筋吊り上げ術 | 約60,000円 |
| 睫毛上皮膚切除 | 約40,000円 |
| 眉毛下皮膚切除 | 約40,000円 |
眼瞼下垂とコンタクトの関係性について
眼瞼下垂の原因の一つとしてコンタクトレンズの装用があります。コンタクトレンズと眼瞼下垂の関係については多くの報告があり、コンタクトレンズの装用によりハードコンタクトレンズの場合には約17倍、ソフトコンタクトレンズの場合には約8倍眼瞼下垂のリスクが高まるという報告もあります。※1)
まぶたを開けるには眼瞼挙筋腱膜という薄い筋肉の作用が必要です。まばたきをするたびにこの腱膜がコンタクトレンズによりこすられ、摩擦によりひきのばされてしまうこと、コンタクトレンズ装着の際にまぶたを強く引っ張ってしまうことで眼瞼下垂につながると考えられています。手術後は術後2週間後より装用可能です。コンタクトレンズを使用することで眼瞼下垂再発のリスクはあるとされていますが、まだ報告はありません。装着時間を極力減らすこと、ハードコンタクトレンズの場合には着脱の際にスポイトを使用すると装用時のまぶたへの負担を減らすことができる可能性があります。
※1) Hwang K, et al. J Craniofac Surg. 2015 Jul;26(5):e373-4.
眼瞼下垂手術とは?「眼瞼下垂手術」と「眉下切開」のどちらを選択すべき?
眼瞼下垂症に対する主な術式は大きく分けて4つあります。診察時にまぶたをあげる筋肉の機能(挙筋機能)を調べて手術の方法を決めます。①挙筋機能が低下している場合にはその程度に応じて「挙筋短縮術」や「前頭筋吊り上げ術」を、②挙筋機能の低下がなく皮膚のたるみのみの場合には「睫毛上皮膚切除」または「眉毛下皮膚切除(いわゆる眉下切開)」を選択することとなります。
1.挙筋短縮術
症例①
適応は挙筋機能が弱い人です。まぶたの皮膚を睫毛から5mm程度の位置で切開し、余剰な皮膚があった場合には切除します。まぶたをあげる薄い膜状の筋肉をまわりの組織から剥がします。その後、瞼板という硬い組織に眼瞼挙筋腱膜を短くして縫い付けます。

まぶたが開いて黒目が見えて、眉毛も下がっています。眠たそうな印象が改善しています。
| 主訴 | 眼を開いた時にまぶたがうまくあがらない |
|---|---|
| 治療費 | 鹿嶋先生:1,320,000円 山名先生・菊地先生・ 小滝先生:770,000円 西住先生・末武先生:550,000円 指名なし:330,000円 3割負担:約60,000円 |
| 治療内容 | 挙筋短縮術 |
| 治療のリスク | 手術により、眼の周りの腫れや内出血(アザ)が起こります。 |
症例②
まぶたが開いて黒眼が見えて、眉毛も下がっています。若々しい印象になりました。
| 主訴 | 眼を開いた時にまぶたがうまくあがらない |
|---|---|
| 治療費 | 鹿嶋先生:1,320,000円 山名先生・菊地先生・ 小滝先生:770,000円 西住先生・末武先生:550,000円 指名なし:330,000円 3割負担:約60,000円 |
| 治療内容 | 挙筋短縮術 |
| 治療のリスク | 手術により、眼の周りの腫れや内出血(アザ)が起こります。 |
2.前頭筋吊り上げ術
適応は挙筋機能が極端に低下している人(主に先天性)です。上まぶたと眉毛上の2箇所を切開し、非吸収糸で縫合します。これによりおでこの筋肉(前頭筋)とまぶたをつなぎ、おでこの筋肉(前頭筋)の力を瞼へ伝えやすくして、眼を開けやすくする方法です。人工のシート(ゴアテックス)を使用する場合もあります。
糸による吊り上げ症例①
視力の発達の時期は決まっています。
この時期に適切な刺激が入らないと、弱視になってしまいます。小児で瞳孔に瞼がかかってしまっている場合には早急に手術を行いまぶたをあげる必要があります。
| 主訴 | 眼を開いた時にまぶたがうまくあがらない |
|---|---|
| 治療費 | 鹿嶋先生:1,320,000円 山名先生・菊地先生・ 小滝先生:770,000円 西住先生・末武先生:550,000円 指名なし:330,000円 3割負担:約120,000円 |
| 治療内容 | 前頭筋吊り上げ術 |
| 治療のリスク | 手術により、眼の周りの腫れや内出血(アザ)が起こります。 |
糸による吊り上げ症例②
| 主訴 | 眼を開いた時にまぶたがうまくあがらない |
|---|---|
| 治療費 | 鹿嶋先生:1,320,000円 山名先生・菊地先生・ 小滝先生:770,000円 西住先生・末武先生:550,000円 指名なし:330,000円 3割負担:約120,000円 |
| 治療内容 | 前頭筋吊り上げ術 |
| 治療のリスク | 手術により、眼の周りの腫れや内出血(アザ)が起こります。 |
人工のシート(ゴアテックス)による吊り上げ症例①
| 主訴 | 眼を開いた時にまぶたがうまくあがらない |
|---|---|
| 治療費 | 鹿嶋先生:1,320,000円 山名先生・菊地先生・ 小滝先生:770,000円 西住先生・末武先生:550,000円 指名なし:330,000円 3割負担:約120,000円 |
| 治療内容 | 前頭筋吊り上げ術 |
| 治療のリスク | 手術により、眼の周りの腫れや内出血(アザ)が起こります。 |
3.睫毛上皮膚切除
適応は挙筋機能に問題がなく、二重がない、二重にしたい、睫毛が眼に当たって痛い(睫毛内反)などです。まぶたの皮膚を睫毛から5mm程度の位置で切開し、余剰な皮膚を切 除します。二重を作成し、皮膚を縫合します。

症例①
| 主訴 | 適応は挙筋機能に問題がなく、二重がない、二重にしたい、睫毛が眼に当たって痛い |
|---|---|
| 治療費 | 鹿嶋先生:1,320,000円 山名先生・菊地先生・ 小滝先生:770,000円 西住先生・末武先生:550,000円 指名なし:330,000円 |
| 治療内容 | 睫毛上皮膚切除 |
| 治療のリスク | 手術により、眼の周りの腫れや内出血(アザ)が起こります。 |
症例②
| 主訴 | 適応は挙筋機能に問題がなく、二重がない、二重にしたい、睫毛が眼に当たって痛い |
|---|---|
| 治療費 | 鹿嶋先生:1,320,000円 山名先生・菊地先生・ 小滝先生:770,000円 西住先生・末武先生:550,000円 指名なし:330,000円 |
| 治療内容 | 睫毛上皮膚切除 |
| 治療のリスク | 手術により、眼の周りの腫れや内出血(アザ)が起こります。 |
症例③
| 主訴 | 適応は挙筋機能に問題がなく、二重がない、二重にしたい、睫毛が眼に当たって痛い |
|---|---|
| 治療費 | 鹿嶋先生:1,320,000円 山名先生・菊地先生・ 小滝先生:770,000円 西住先生・末武先生:550,000円 指名なし:330,000円 |
| 治療内容 | 睫毛上皮膚切除 |
| 治療のリスク | 手術により、眼の周りの腫れや内出血(アザ)が起こります。 |
症例④
| 主訴 | 適応は挙筋機能に問題がなく、二重がない、二重にしたい、睫毛が眼に当たって痛い |
|---|---|
| 治療費 | 鹿嶋先生:1,320,000円 山名先生・菊地先生・ 小滝先生:770,000円 西住先生・末武先生:550,000円 上記以外:330,000円 |
| 治療内容 | 睫毛上皮膚切除 |
| 治療のリスク | 手術により、眼の周りの腫れや内出血(アザ)が起こります。 |
3.眉毛下皮膚切除
適応は挙筋機能の低下がなく、二重がある、皮膚が厚い、外側のたるみが多い、印象を大きく変えたくない場合などです。
方法:まぶたの皮膚を眉毛の下で切開して、余剰な皮膚を切除し、皮膚を縫合します。

症例①
| 主訴 | 適応は挙筋機能の低下がなく、二重がある、皮膚が厚い、外側のたるみが多い、印象を大きく変えたくない |
|---|---|
| 治療費 | 鹿嶋先生:1,320,000円 山名先生・菊地先生・ 小滝先生:770,000円 西住先生・末武先生:550,000円 指名なし:330,000円 3割負担:約120,000円 |
| 治療内容 | 眉毛下皮膚切除 |
| 治療のリスク | 手術により、眼の周りの腫れや内出血(アザ)が起こります。 |
症例②
| 主訴 | 適応は挙筋機能の低下がなく、二重がある、皮膚が厚い、外側のたるみが多い、印象を大きく変えたくない |
|---|---|
| 治療費 | 鹿嶋先生:1,320,000円 山名先生・菊地先生・ 小滝先生:770,000円 西住先生・末武先生:550,000円 指名なし:330,000円 3割負担:約120,000円 |
| 治療内容 | 眉毛下皮膚切除 |
| 治療のリスク | 手術により、眼の周りの腫れや内出血(アザ)が起こります。 |
両方とも外側の皮膚のたるみがかなりすっきりし、本来あった二重が見えるようになりました。
以上、それぞれの術式について解説しました。昨今のブームから眉下切開を希望されて受診される方もいらっしゃいますが、そもそも、挙筋機能が低下している場合には適応にはなりません。当院では術式について診察時に挙筋機能を含む適切な検査を行い、判断するのに加え、手術日の朝に全体のカンファレンスでも医師全員で術式の適応について再確認しております。
眼瞼下垂手術は
保険適用ですか?
眼瞼下垂に伴う自覚症状(まぶたが開けにくい、上の方が見えづらいなど)がある場合には保険適応となります。瞼が重くて開けにくいという病気の症状を治す目的で手術を行います。再発時にも症状があれば追加手術はできますが他の病気での手術と同様にその都度料金がかかります。また、保険適応での手術の場合には国の健康保険を使用しての手術となるため患者さん個々人の見た目の要望を受け付けることはできません。
一般的な日本人の眼の形で不自然とならないような一律のデザインで手術をします。しかし、手術をせっかくするなら自分の理想の眼の形に近づけたい、綺麗な二重にしたいといった見た目についての要望が強い方もいらっしゃいます。そこで当院では自費診療での手術も可能です。自費診療の場合には保険診療と比較して料金が高い設定ですが、病気に伴う症状の改善に加え、執刀医の選択、見た目の修正や再発時の手術も1年間は追加料金なしで可能という違いがあります。
眼瞼下垂でおすすめの
医院・名医の選び方
現在、眼瞼下垂症は眼科、形成外科、美容形成外科といった複数の診療科で診療されているのが現状です。眼科医と形成外科医では何が違うのでしょうか。形成外科医は見た目を良くすることを目的として手術を行います。まぶたの形のみに注目しているわけです。しかし、眼科医はまぶたの形はもちろん、眼全体の機能改善を目的として手術を行います。これはとても大きな違いです。当院には形成外科医による手術後の修正に受診される方もいらっしゃいます。その際に「眼が痛い」と言って受診されることが多いです。
見た目だけが良くなっても眼がとても痛い状態では生活することができません。眼科医は診察や手術に顕微鏡を使いますから、眼の表面の細かい傷にまで気づくことができるのです。眼全体の機能改善を考えているという点で眼科医による手術をお勧めします。しかし、白内障手術とは違い、眼科医の中でも眼瞼下垂症の手術をできる医師はまだまだ少ないです。
眼瞼下垂症は人によって程度も様々であり、難易度も変化します。手術の症例数が多いということは多くのパターンを経験しているということになりますので、病院を選ぶ際の一つの指標となると思います。「眼科医による手術」、「手術症例数」に注目して病院を選ぶことをおすすめします。
眼瞼下垂のセルフチェックと
なりやすい人の特徴
ぜひ鏡の前で確認してみてください
眼瞼下垂の原因としては先天性眼瞼下垂、加齢、コンタクトレンズ使用、花粉症やアトピー性皮膚炎などでまぶたを強く擦ることの多い場合、眼科手術後などがあります。セルフチェックの方法としては、鏡を見ながらまばたきをして、「黒目がまぶたで隠れていないか」「おでこのしわがないか」、「眼を開けたときに眉毛が上がっていないか」を確認してみてください。
また、眼瞼下垂チェックリストで当てはまる項目がある場合には眼瞼下垂の可能性があります。見た目の変化に気づき、受診される方が多いですが、肩こりや頭痛に悩まされていた方が受診され、手術後に肩こりや頭痛がかなり良くなることも度々あります。眼瞼下垂かもと思った場合には受診をおすすめします。
- まぶたが持ち上がらない
- 眼がしっかり開かない
- 視野が狭い
- 上の方が見えづらい
- 肩こりや頭痛が続く
- あごが上がっている
- 眠たくないのに眠いか聞かれる
- 黒目がまぶたで隠れている
- 眼を開けたときに眉毛が上がっている
- おでこに深い皺がある
- 二重の幅が広くなった
眼瞼下垂手術後のダウンタイム・どのくらいで復帰できる?
術後の腫れや痛み・注意点に
ついて詳しく解説
術前

術後2週間

術後3ヶ月
| 主訴 | 眼瞼下垂を治したい |
|---|---|
| 治療費 | 鹿嶋先生:1,320,000円 山名先生・菊地先生・ 小滝先生:770,000円 西住先生・末武先生:550,000円 指名なし:330,000円 3割負担:約50,000円 |
| 治療内容 | 眼瞼下垂手術 |
| 治療のリスク | 手術により、眼の周りの腫れや内出血(アザ)が起こります。 |
手術により、眼の周りの腫れや内出血(アザ)が起こります。腫れは術後2日目をピークに2週間で8割程度改善しますが、完全な消退には約6ヶ月かかります。内出血の完全な消退には約4週間かかります。視力が下がるわけではないので術後2日以降からはデスクワーク程度は可能です。1〜2週間は腫れなどが目立つことが多いため接客業や営業など新しい人と会う方はお休みしていただくのが良いでしょう。
痛みについてはほとんどないという方から術後は翌日くらいまでは鎮痛剤の内服が必要な程度という方まで感じ方は人それぞれになります。鎮痛剤を何日間も内服したという方はいないです。手術翌日まではしっかりとクーリングをする、安静にするのが痛みや腫れを最小限に抑えるために重要です。軟膏を傷口に塗布すると溶けて眼に入りぼやけて見えることがあります。軟膏は傷口に薄く塗れば十分なので量をつけすぎないようにしましょう。
入浴
手術翌日からシャワー浴、洗顔、洗髪は可能です。入浴は術後3日目から可能です。創部を清潔に保つよう、軽く洗い流してください。
飲酒
飲酒により血行が良くなると腫脹や出血の原因となりますので、術後3日目以降にしましょう。
メイク
アイメイクは術後2週間程度から可能です。
車の運転
視力が下がるわけではないのですが腫れや軟膏が眼に入ってぼやける感じがする可能性があります。眼の周りが腫れて視界が狭いうちは避けましょう。
運動
激しい運動やほこりっぽいところでの運動は最低術後1週間はお休みしましょう傷がある程度つくのに2週間程度かかります。よって術後2週間後以降が望ましいです。
コンタクトレンズ
術後2週間後程度で腫れが落ち着いてきたら可能です。
目薬
手術前後で中止する必要はありません。
術後に傷を綺麗にするために気をつけること
創部は約半年かけて治っていきます。紫外線や摩擦などのストレスを避けることが傷を綺麗に治すために必要です。よって、軟膏を塗るなど保湿すること、紫外線に当たることを避けることが大切です。
眼瞼下垂かどうか
セルフチェックしてみましょう
眼瞼下垂の原因としては、先天性眼瞼下垂、加齢、コンタクトレンズ使用、花粉症やアトピー性皮膚炎などでまぶたを強く擦ることの多い場合、眼科手術後などがあります。
セルフチェックの方法としては、鏡を見ながらまばたきをして、「黒目がまぶたで隠れていないか」「おでこのしわがないか」、「眼を開けたときに眉毛が上がっていないか」を確認してみてください。
「眼瞼下垂のセルフチェックリストとなりやすい人の特徴」を詳しく見る
「眼瞼下垂」について関連記事はこちら
「眼瞼下垂とは?」を詳しく見る
「眼瞼下垂手術」を詳しく見る
「眼瞼下垂についてよくある質問」を詳しく見る
著者情報
鹿嶋 友敬
Tomoyuki Kashima/ MD, PhD
患者さんへのご挨拶
これまで10年以上にわたり日米通算1万件以上の手術を行って参りました。 今までに私が培ってきた専門的な知識や経験を日本でお困りの患者さんの為に提供していきたいと思っています。
経 歴
| 2002年 | 群馬大医学部卒 群馬大学 眼科学教室 |
|---|---|
| 2004年 | 伊勢崎市民病院 |
| 2005年 | 群馬大眼科 |
| 2007年-09年 | 聖隷浜松病院 眼形成眼窩外科へ国内留学 |
| 2009年 | 群馬大にて眼形成外来を開設 |
| 2012年 | 学位取得 群馬大学眼科 助教 |
| 2010年-18年 | アジア太平洋眼形成学会理事 |
| 2015年-16年 | カリフォルニア大学 ロサンゼルス校へ留学 |
| 2017年 | 新前橋かしま眼科形成外科 クリニック 開院 |
| 2018年 | オキュロフェイシャルクリニック 東京 開院 |
| 2019年 | The NewYork Times特別企画「Next Era Leaders 2019」選出 |
| 2020年 | アメリカ眼形成学会(ASOPRS)会員 |
海外・国内活動
| 2009年 | Singapore National Eye Center |
|---|---|
| 2010年 | アジア太平洋眼形成外科学会 北京 Invited Speaker |
| 2011年 | ヨーロッパ眼形成学会 コモ(イタリア) |
| 2012年 |
世界眼科会議 アブダビ Invited Speaker Asia ARVO シンガポール Invited Speaker APAO 釜山 Invited Speaker アメリカ眼科学会 シカゴ Invited Speaker |
| 2013年 | APAO ハイデラバード Invited Speaker アメリカ小児眼科学会 シンガポール Invited Speaker ヨーロッパ眼形成学会 バルセロナ |
| 2014年 | 世界眼科会議 東京 Invited Speaker アジア太平洋眼形成外科学会 デリー アメリカ眼形成学会 シカゴ |
| 2015年 | APAO 広州 Invited Speaker |
| 2016年 | KSAS(Korea Society of Aesthetic Surgery) meeting in Seoul ITEDS(International Thyroid Eye Disease) meeting in London APSOPRS & JSOPRS joint meeting session chair iseminer 甲状腺眼症の手術治療など講演多数。 |
| 2017年 | アメリカ眼科アカデミーinstructor、 韓国眼形成学会invited speaker、 中国眼形成学会invited speaker |
| 2018年 | アジア太平洋国際学会APAO invited speaker |
| 2019年 | アジア太平洋国際学会APAO invited speaker、 ITEDS invited speaker、 OPAIC invited speaker |
| 2021年 | アジア太平洋眼形成学会 invited speaker |
| 2022年 | アジア太平洋国際学会APAO、 ヨーロッパ眼形成学会、 米国眼形成学会 |
| 2023年 | アジア太平洋国際学会APAO、 ヨーロッパ眼形成学会、 米国眼形成学会、タイ眼形成学会、 UCLA解剖実習コース、 ポルトガル解剖実習コース |
監修・著書
監修
外眼部の周術期のケアに
メオアイス
名古屋眼鏡 まぶたやその周囲の手術のあとの”腫れ”や”痛み”を防止する目的で作られた医療用商品です。
著書
責任編集者
超アトラス 眼瞼手術
全日本病院出版 眼科と形成外科のコラボレーションを目指す、意欲的なアトラスが登場! オールカラーの連続写真、詳細なシェーマでわかりやすく解説されています。
著書
責任編集者
ここからスタート! 眼形成手術の基本手技
全日本病院出版 眼形成外科を目指すドクターへの入門書。手術の道具や手技を詳細に解説しています。
お問い合わせ
当院は、まぶた、眼窩、涙道に特化した眼形成手術の専門施設です。豊富な経験と専門的な知識をもとに、一人ひとりのお悩みに寄り添い、最適な治療をご提案いたします。
他院で修正することが難しいと判断された方でも、今まで来院されたほとんどの方が治療が可能ですので、まずは一度ご相談いただけたらと思います。
日本全国5医院グループ展開!
年間1万件以上・日本全国No.1の
眼形成手術実績を誇る、
日本唯一の眼形成外科グループ
オキュロフェイシャルクリニックグループは、
東京、大阪、京都、千葉、新前橋の5つのクリニックを日本全国に展開する、眼形成外科の専門クリニックです。
私たちは、年間1万件以上の眼形成手術実績を持ち、日本全国No.1の治療実績を誇ります。
各クリニックでは、眼形成外科医が手術を担当し、
他の美容外科では得られない高度な技術と専門性を提供しています。
眼瞼下垂、目の下のたるみやクマ取り、ハムラ法、なみだ目治療、バセドウ病眼症、眼球突出、他院修正手術など、眼と目元に関するあらゆる悩みに対応します。
私たちの眼形成外科医は、自然で美しい仕上がりをお約束し、患者様の満足を第一に考えています。
オキュロフェイシャルクリニックグループでは、
最新の技術と豊富な経験を持つ専門医が皆様をお迎えし、安心して治療を受けていただける環境を整えています。
各クリニックは、それぞれの地域で皆様に質の高い医療を提供することを目指し、日々努力しています。
どうぞ、お近くのクリニックにご相談ください。





















